Kawasaki hastalığı, kan damarlarının inflamatuar bir hastalığı olup ,ateş nedenidir. En çok 6 ay ila 5 yaş arası çocuklar etkilenir. Kalp hastalığına neden olabilir, ancak bu tedavi ile önlenebilmektedir.
İlk kez 1967 yılında Japon çocuk hastalıkları uzmanı Dr. Tomisaku Kawasaki tarafından teşhis edilen Kawasaki hastalığı, özellikle küçük yaştaki çocuklarda görülen hastalıklardan biridir. Tedavi edilmediğinde ciddi kalp rahatsızlıklarına yol açan Kawasaki hastalığında erken teşhis ve uygun tedavi yöntemleri ile çocuklar normal seyrinde büyüyüp gelişebilmektedir.

Kawasaki Hastalığı Nedir?
Kawasaki; genel olarak kalbi besleyen koroner atardamarlar başta olmak üzere orta büyüklükteki damarlarda genişlemelere ve vaskülit olarak da bilinen damar çeperlerinde iltihaplanmalara neden olabilen bir hastalıktır.
Kawasaki hastalığı, Amerika Birleşik Devletleri ve Japonya’daki çocuklarda edinilmiş kalp hastalığının en yaygın nedenidir. Neyse ki, tedavi genellikle kalp hastalığının oluşmasını önlemede etkilidir.
Japonya başta olmak üzere tüm dünyada yaygın olarak görülen bu hastalık çoğunlukla 5 yaşın altındaki küçük çocuklarda görülmektedir. Hastalık, nadiren de olsa 3 aydan küçük ve 5 yaşından büyük çocuklarda da ortaya çıkabilmektedir. Hastalığa yılın her döneminde rastlansa da kış ve ilk bahar döneminde daha fazla vaka bildirilmektedir.
İstatistiklere göre erkek çocuklarda daha fazla görülen hastalığın nedeni ise tam olarak bilinememektedir. Enfeksiyonlara maruz kalmanın önemli neden olarak görüldüğü hastalıkta genetik yatkınlık da etkilidir. Özellikle virüs ve bakterilerin kan damarlarının iltihaplanmasında önemli bir role sahip olduğu düşünülmektedir. Bu anlamda, Kawasaki virüs ve bakteriler tarafından tetiklenebilmektedir.
Kawasaki hastalığına ne sebep olur?
Kawasaki hastalığının nedeni bilinmemekle birlikte, kış sonlarında ve ilkbaharın başlarında daha fazla vaka ortaya çıkar. Kawasaki hastalığı kişiden kişiye temasla bulaşmaz.
Kawasaki hastalığı belirtileri nelerdir?
Kawasaki hastalığı hızlı ilerleyen yakınmalar ile ortalama 2 hafta içinde istemeyen sonuçlar doğurabilir. Tüm belirtileri her çocukta ortaya çıkmayabilir. Özellikle hastalığın ilerleyen aşamasında görülen kalp komplikasyonları tedavi gören çocukların çok azında ortaya çıkmaktadır. Bir yaşından küçük çocuklarda ise semptomların belli belirsiz olması nedeniyle teşhis konulması zorlaşmaktadır. Bu durumda, tanı ve tedavi gecikmekte ve kalp damarlarında genişleme (anevrizma) daha sık görülebilmektedir.
Üç aşamada ilerleyen hastalığın ilk evresi yüksek ateşle karakterizedir. İlk 3 günlük dönemde 39°C’nin üzerinde seyreden yüksek ateşin yanı sıra;
- En az 5 gün süren ateş
- Sinirlilik
- Boğaz, ağız kenarında ve dudaklarda tahriş ve kızarmalar,
- Gözlerde kızarıklık,
- Gövde, kasık ve bacak derilerinde döküntü, kızarıklık ve soyulmalar,
- Lenf bezlerinde büyüme,
- Normalden daha kırmızı ve şiş dil,
- El ve ayaklarda kızarıklık ve şişlikler görülmektedir.
Bu belirtilerin yanı sıra bebeklik döneminde verem aşısı (BCG) uygulanmış çocukların bazılarında aşı bölgesinde kızarmalar da görülmektedir. Semptomların ortaya çıktığı ilk 3-5 gün çocuklar oldukça huzursuz olur. Yüksek ateşin bu süre boyunca düşmediği çocukların tedavi altına alınması gerekmektedir.
Bu dönemin ardından ise şu belirtiler gözlemlenmektedir:
- İshal ve kusma,
- Baş ve karın ağrısı,
- Eklem yerlerinde şişlikler ve ağrı,
- El ve ayak parmak uçlarında soyulmalar.
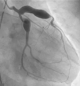
Hastalığın son aşamasında ise belirtiler ortadan kalkabilmektedir. Bununla birlikte tedavi uygulanmadığı takdirde çocuklarda kalp komplikasyonları görülebilmektedir. Bu komplikasyonlar hastalığın en önemli ve ciddi semptomlarıdır. Kalpte aritmiler ve çeşitli katmanlarda iltihaplanmalar görülebilse de hastalığın yarattığı en büyük hasar kalp damarlarında genişlemedir (anevrizma).
Kawasaki hastalığı ve Coronavirüs İlişkisi
Çin’in Wuhan kentinde 2019 Aralık ayında ortaya çıkan ve kısa sürede farklı ülkeleri de etkisi altına alan Coronavirüs, bulaşıcı bir solunum yolu hastalığıdır. Bir virüs grubu olan Coronavirüsün farklı alt tipleri bulunmaktadır. 2003 yılında ortaya çıkan SARS ve 2012 yılında görülen MERS Coronavirüs grubu içinde yer alan virüslerdir. Çin’de tüketilen egzotik hayvanlar nedeniyle oluştuğu düşünülen virüs ise Yeni Coronavirüs ya da Covid-19 olarak adlandırılmaktadır.
Yeni Coronavirüs vakalarının en çok görüldüğü ülkeler arasında İtalya, İngiltere ve Amerika bulunmaktadır. Özellikle Kuzey İtalya ve İngiltere’nin bazı bölgelerinde, bu dönemde Kawasaki hastalığının bazı bulguları ile gelen çocuk hasta sayısında artış olduğu bildirilmiştir. Çocuklarda görülen bulgular arasında yüksek ateş ve koroner arter anevrizması bulunmaktadır. Özellikle 9 yaşından küçük çocuklarda bu semptomların artış göstermesi Yeni Coronavirüs ve Kawasaki hastalığı arasında bir ilişkinin olduğundan şüphelenilmesine neden olmuştur.
Dünya Sağlık Örgütü (WHO) ve İngiliz Ulusal Sağlık Ajansı’nın (NHS) da gündeminde olan Kawasaki hastalığı ve Coronavirüs ilişkisine dair araştırmalar devam etmektedir.
Kawasaki hastalığı bulaşıcı mı?
Özellikle son zamanlarda hastalığın Coronavirüs ile ilişkili olabileceğinin düşünülmesi üzerine çoğu kişi Kawasaki sendromu nedir şeklinde araştırma yapmaktadır. Hastalığın tanımı, belirtileri ve tedavi yöntemleri hakkındaki bilgiler Kawasaki bulaşıcı mıdır sorusunu da beraberinde getirmektedir.
Kawasaki hastalığı bulaşıcı bir hastalık değildir. Özellikle 5 yaşından küçük çocukların toplu olarak bulunduğu ana sınıfı ya da kreş gibi kurumlarda da hastalığın yayılma olasılığı bulunmamaktadır.
Tanı için hangi testler yapılmalıdır?
Kawasaki tanısı konabilmesi için çocuklarda ortaya çıkan semptomların gözlemlenmesi gerekmektedir. Tanı, yalnızca klinik bulgulara bağlı olarak konabilir. Özellikle hastalığın ilk aşamasında görülen bir kaç gündür devam eden yüksek ateşe eşlik eden, gözlerde kızarıklık, deride döküntü, boyun lenf bezlerinin büyümesi, ağız kenarı ve boğazda tahriş ile kol ve bacaklarda kızarıklık, şişlik ve soyulmalar tanı sırasında hekimlerin üzerinde durduğu semptomlardır. Bu beş belirtiden dördünün görüldüğü çocuklara Kawasaki hastalığı teşhisi konmaktadır.
Bu klinik belirtilerin dışında hastalığı kesin olarak teşhis edecek bir test bulunmamakla birlikte, bazı testlerden yararlanılmaktadır. CRP ve sedimantasyon düzeyinin normalin üstünde seyretmesi, lökosit sayısında ve karaciğer enzim düzeyinde anormal artış, kansızlık ve trombosit sayısında yükselme gibi bulgular laboratuvar testleri ile ölçülerek tanıda hekimlere yardımcı olmaktadır.
Kawasaki hastalığı nasıl tedavi edilir?
Kawasaki hastalığının tedavisi tanının ardından hemen başlatılmaktadır. Çoğu vakada semptomlar kendiliğinden düzelse de bazı hastalarda tıbbi tedaviye geçilmemesi ciddi sonuçlar doğurabilmektedir. Hızlı ilerleyen hastalıkta erken tedavi başlanmadığında kalp komplikasyonları görülebilme ihtimali yüksektir. Genellikle sağlık kurumlarında kalple ilgili sorunların görülme olasılığına karşın çocuklar gözetim ve tedavi altında tutulmaktadır.
Hastalığın tedavisinde öncelikle aspirin ve yüksek dozda intravenöz immünoglobülin uygulanmaktadır. Antikor olarak da bilinen intravenöz immünoglobülin, insan kanının sıvı bölgesinden elde edilen saf plazma anlamına gelmektedir. Aspirin ve özellikle enfeksiyon tedavilerinde sıklıkla kullanılan intravenöz immünoglobülin birlikte uygulanarak iltihapların ve hastalığın hızlı ilerleme gösteren belirtilerinin azaltılması amaçlanmaktadır. Aynı zamanda, hastalığın son evresinde görülen koroner damar genişlemesinin ortaya çıkma olasılığını en aza düşürmek amacıyla da bu tedavi yöntemi uygulanmaktadır.
Çoğu hasta için bu tedavinin uygulanması yeterli olmaktadır. Bununla birlikte, bazı çocukların intravenöz immünoglobülin tedavisine yanıt vermemesi nedeniyle alternatif tedavi yöntemlerine geçilmektedir. Damar içi kortikosteroid verilmesi bu yöntemlerden biridir. Özellikle koroner arter anevrizmalarında kortikosteroid sıklıkla uygulanmaktadır. Halk arasında kortizon olarak da bilinen bu tedavi yöntemi iltihapların azaltılmasına yardımcı olmaktadır.
Tedavi başladıktan 24 ila 48 saat sonrasında çoğu hastada yüksek ateş gerilemektedir. Bu noktada hastalara uygulanan aspirinin dozu azaltılmaktadır. Tedavi sırasında düşük dozda da olsa aspirin verilmeye devam edilmesinin en önemli nedenlerinden biri iltihap görülen koroner arterde kan pıhtısı oluşumunun önüne geçmektir. Kalp damarlarındaki genişlemenin gerilemesi sonrası ilaç tedavisine son verilmektedir.
Kawasaki Hastalığı olan çocuklar için başka hangi önemli hususlar dikkate alınmalıdır?
- İnfluenza ve suçiçeği de dahil olmak üzere aşıların güncel olmasını sağlamak, özellikle çocuk aspirin tedavisi alırken önemlidir. Viral bir hastalığı olan aspirin alan çocuklarda küçük bir Reye Sendromu riski vardır.
- Çocuklar, IVIG’yi izleyen 11 ay boyunca canlı virüs aşıları (yani kızamık-kabakulak-kızamıkçık, suçiçeği ve nazal canlı virüs grip aşıları) almamalıdır. Çünkü IVIG, vücudun bu virüslere karşı antikor geliştirme yeteneğini etkileyebilir.
- Ekokardiyogramlarında anormallik bulguları olan çocuklarda kardiyoloji tarafından belirli aktivitelerin kısıtlanması önerilebilir.
Kawasaki Hastalığı Tekrarlar mı?
Nedeni tam olarak bilinemeyen fakat bazı faktörlere bağlı olarak ortaya çıktığı düşünülen Kawasaki hastalığı nadir de olsa tekrarlayabilmektedir. Bazı vakalarda uygun tedavi sonrası hastalık tam olarak iyileşse de ikinci bir atak görülebilmektedir.






Yorum bırakın